Clear Aligner Results in Sri Lanka

Before & After Smile Transformations

Clear aligners are designed to gradually improve the position of your teeth, resulting in a more aligned and confident smile.

This page showcases how different alignment issues — such as crowding, spacing, and protrusion — can be improved through properly planned aligner treatment.

See the Difference Aligners Can Make

Every smile is unique, and each treatment is planned based on the individual condition of the patient. The following examples demonstrate typical improvements achieved with aligners.

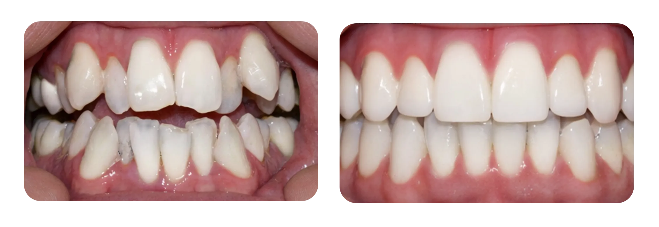
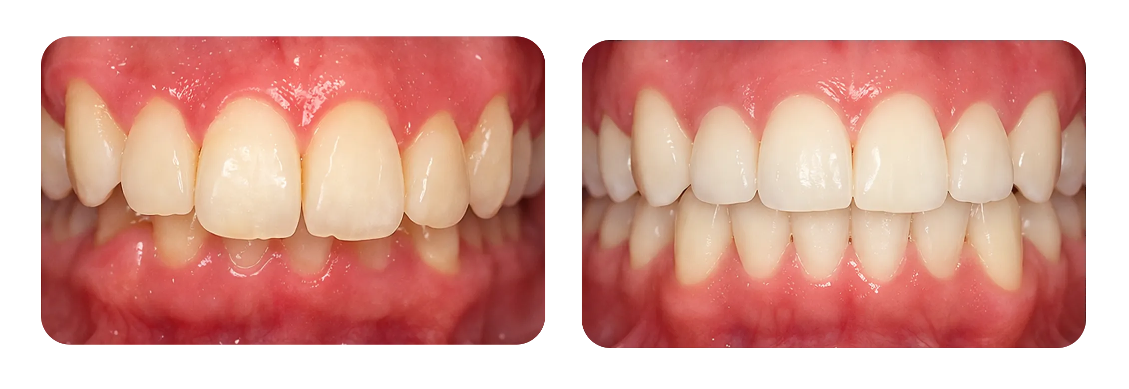
Crowded Teeth

Before

Teeth overlapping or not properly aligned

After

Teeth positioned evenly with improved alignment

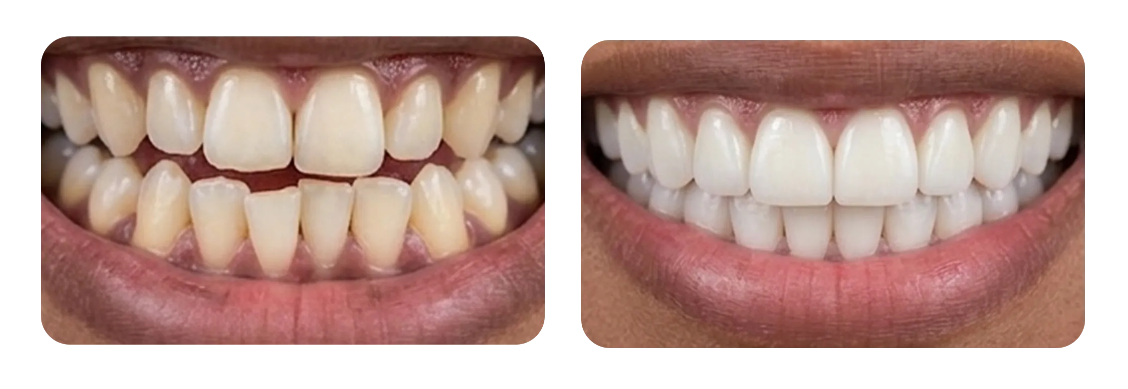
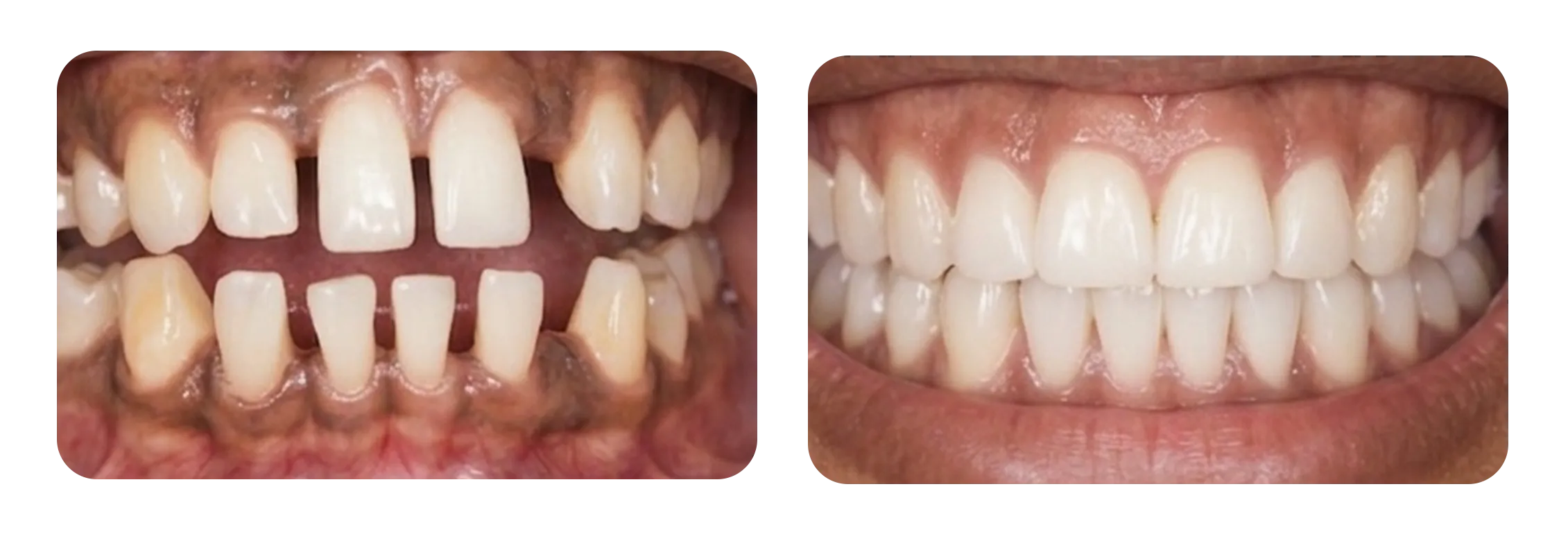
Gaps Between Teeth (Spacing)

Before

Visible spaces between teeth

After

Gaps reduced or closed for a more uniform smile

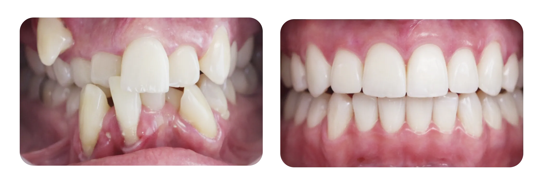
Protruding Teeth

Before

Front teeth positioned forward

After

Teeth aligned into a more balanced position

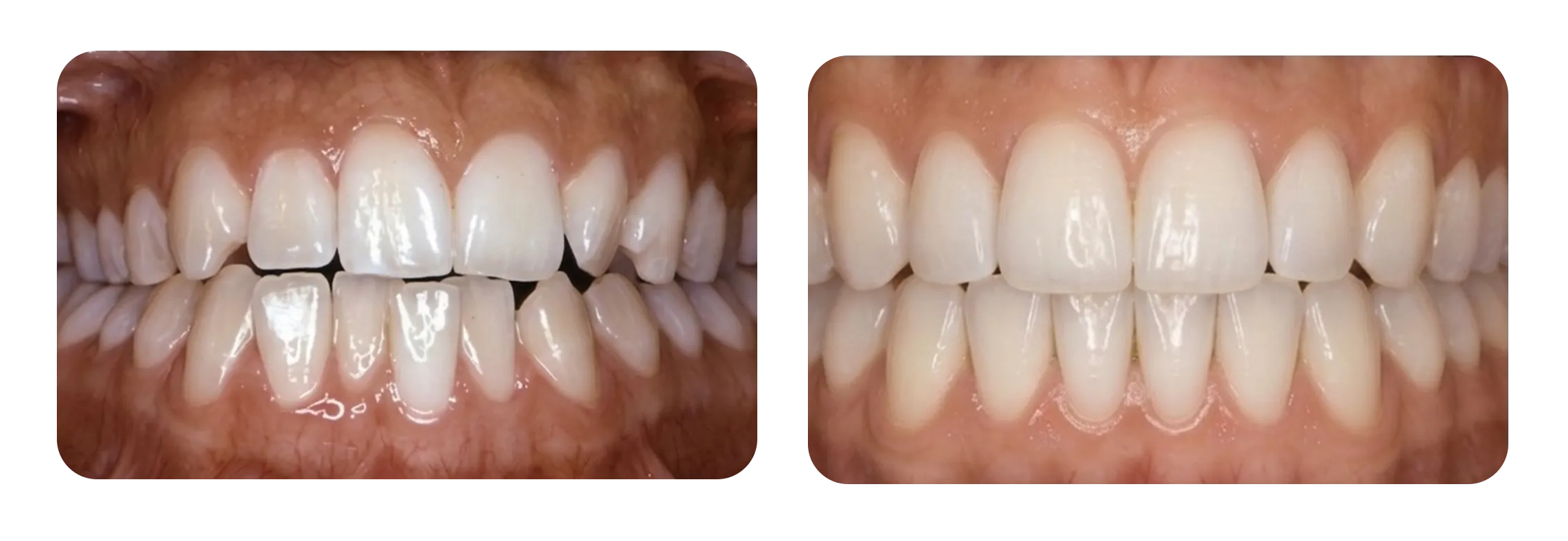
Bite Issues

Before

Improper alignment of upper and lower teeth

After

Improved bite and functional alignment

What These Results Show

Aligner treatment can:

Improve teeth alignment

Close gaps between teeth

Correct protrusion

Enhance overall smile appearance

What Affects Your Results?

Final outcomes depend on several factors:

How Long Does It Take To See Results?

Mild cases

Visible improvement within a few months

Moderate cases

Gradual improvement over 6–12 months

Advanced cases

Full results over 12–18 months

Cayo Aligner Preliminary Screening

Required Photos